UNSER HERZ

MRT-Untersuchung des Herzens

Eine MRT (Magnetresonanztomographie) ist eine Untersuchung, die detaillierte Bilder des Herzens liefert, ohne Röntgenstrahlung zu verwenden. Sie dient dazu, die Funktion des Herzmuskels, die Durchblutung und mögliche Schäden oder Erkrankungen sichtbar zu machen. Sie ist die beste Untersuchung, um das Herzmuskelgewebe direkt darzustellen und eventuelle Erkrankungen des Herzmuskels zu erkennen. Die Untersuchung dauert in der Regel zwischen 25 und 45 Minuten und kann je nach medizinischer Fragestellung mit der Gabe von Kontrastmittel unterstützt werden.

Ablauf der Untersuchung:

1. Indikationsstellung:

Die behandelnde Ärztin/der behandelnde Arzt wird seine Patientinnen und Patienten nur dann zu einer MRT-Untersuchung des Herzens überweisen, wenn eine spezielle Fragestellung vorliegt, z.B. wenn eine Erkrankung des Herzmuskels wie eine Entzündung oder eine Durchblutungsstörung vermutet werden. Da die Untersuchung nur an spezialisierten Zentren durchgeführt werden kann und die Kapazitäten entsprechend begrenzt sind, ist diese Untersuchung speziellen Fragestellungen vorbehalten – für viele medizinische Fragestellungen ist eine Echokardiographie in der Regel ausreichend. Zudem ist zu bedenken, dass die MRT-Untersuchung des Herzens derzeit nicht von den gesetzlichen Krankenkassen übernommen wird, sodass im Zweifelsfall die Durchführung der Untersuchung erst mit der Krankenkasse abgestimmt werden muss.

2. Vorbereitung:

Vor der Untersuchung wird ein Aufklärungsgespräch geführt. Hierbei wird die Patientin/der Patient auch gefragt, ob er/sie metallische Implantate im oder am Körper trägt. Dies können Herzschrittmacher, Defibrillatoren oder auch ein künstlicher Gelenkersatz sein. Sollten Implantate im oder am Körper vorhanden sein, muss die Patientin/der Patient den Ausweis mitbringen und vorlegen. Für Herzschrittmacher und Defibrillatoren ist vor und nach der Durchführung zudem eine Kontrolle und Umprogrammierung des Geräts erforderlich, damit es nicht zu Fehlfunktionen kommt, denn das MRT-Gerät arbeitet mit starken magnetischen Impulsen. Direkt vor der Untersuchung werden alle metallischen Gegenstände wie Schmuck, Kleingeld, Kredit-/EC-Karten usw. abgelegt. Sollten großflächige Tätowierungen bestehen, die gegebenenfalls metallische Pigmente enthalten, ist dies vor der Untersuchung mit der behandelnden Ärztin/dem behandelnden Arzt abzustimmen. Ebenso ist vor der Untersuchung zu klären, ob eine Allergie auf MRT-Kontrastmittel bekannt ist. Das kommt jedoch selten vor. Vor der Gabe des Kontrastmittels ist es erforderlich, die Nierenfunktion zu überprüfen, da das Kontrastmittel über die Nieren ausgeschieden wird. Daher muss vorab eine Blutentnahme erfolgen, um den Kreatininwert (Nierenwert) zu messen

3. Durchführung:

Die Patientin/der Patient liegt während der Untersuchung bequem auf einer Liege und wird in das MRT-Gerät gefahren. Je nach Fragestellung dauert die Untersuchung dann 25 bis 45 Minuten. Für eine gute Bildqualität gibt das medizinische Personal Atemkommandos, damit klare Bilder erzeugt werden können und das Herz sich durch die Atmung nicht zu stark bewegt. Während der Untersuchung werden laute Geräusche durch das MRT-Gerät entstehen, die durch das An- und Abschalten der Magnetspulen verursacht werden. Daher werden die Patientin/der Patient einen Hörschutz erhalten. Über das im Gerät enthaltene Mikrofon und die Lautsprecher im Hörschutz kann die Patientin/der Patient zu jedem Zeitpunkt mit dem medizinischen Personal kommunizieren. Für viele medizinische Fragestellungen wird ein Kontrastmittel über eine Armvene verabreicht, um bestimmte Gewebestrukturen und Erkrankungen besser sichtbar zu machen. Dies können zum Beispiel Narben im Herzmuskel bedingt durch eine Durchblutungsstörung sein oder aber auch Entzündungsherde im Rahmen einer Herzmuskelentzündung sein.

4. Nach der Untersuchung:

Nach der Untersuchung können Sie in der Regel direkt nach Hause gehen und Ihren normalen Alltag fortsetzen. Da häufig eine Vielzahl an Bildern erzeugt wird, kann es etwas dauern, bis alle Bilder abschließend analysiert sind und der Befundbericht zur Verfügung gestellt werden kann. Die Bilder und Befunde werden online gespeichert. Über ein abgesichertes System hat die Patientin/der Patient, aber auch die behandelnden Ärztinnen und Ärzte Einblick. Nach Übermittlung des Befundes wird Ihre Ärztin/Ihr Arzt dann mit Ihnen besprechen, ob sich eine therapeutische Konsequenz ergibt. Dies kann – je nach Fragestellung – bedeuten, dass andere Untersuchungen erforderlich werden oder neue Medikamente verordnet werden müssen.

An unserem Standort werden die MRT-Untersuchungen des Herzens in Kooperation zwischen Kardiologie (Herzspezialisten) und Radiologie (Röntgenspezialisten) durchgeführt. So wird die medizinische Expertise noch weiter erhöht. Durch eine zusätzliche Spezialisierung eines unserer Kardiologen in der MRT-Untersuchung des Herzens können wir unseren Patientinnen und Patienten die höchsten medizinischen Standards bieten.

Indikationen

Die MRT wird vor allem bei akuten und chronischen Erkrankungen des Herzmuskels angewendet. Hierzu zählen:

  • Herzmuskelentzündung
  • Speichererkrankungen wie die Amyloidose
  • Darstellung von Narben bei koronarer Herzkrankheit

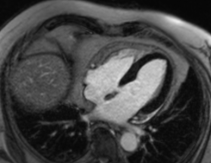
Darstellung des schlagenden Herzens

Darstellung des Herzmuskelgewebes

Darstellung einer Entzündung (weiß)

Angeborene Erkrankung der rechten Kammer

Angeborene Herzmuskelverdickung

Farbcodierte Darstellung (sog. Map)

Was es für Sie zu beachten gibt

Die MRT funktioniert durch Aussendung von Magnetwellen. Daher muss bei metallischen/magnetischen Implantaten (inbesondere Herzschrittmacher) zuvor mit dem Arzt/der Ärztin besprochen werden, ob und wie eine MRT-Untersuchung möglich ist.

Kontaktaufnahme

Die Ansprechpartner:innen für Untersuchungen und Behandlungen der verschiedenen Herzerkrankungen am Klinikum Links der Weser, Klinikverbund Bremen, Gesundheit Nord gGmbH finden Sie auf der folgenden Homepage: 

Hier finden Sie auch die Kontaktdaten der entsprechenden Sekretariate zur Anmeldung.